Pengenalan Produk
|
Nama Produk |
Kucing.Tidak. |
Spesifikasi. |
|
Peralatan Pewarnaan Gram |
G1065-20ML |
4×20ml |
Keterangan
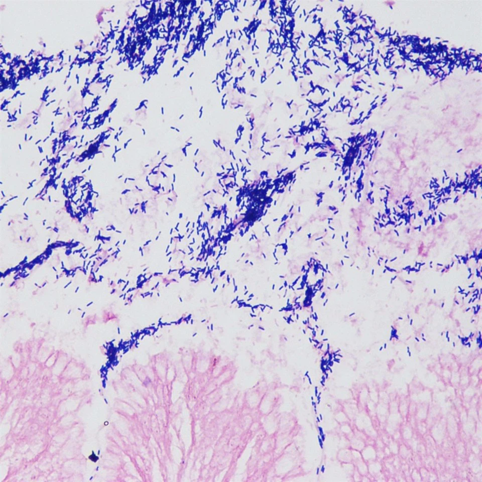
Pewarnaan Gram merupakan metode pewarnaan diferensial yang banyak digunakan dalam mikrobiologi, yang dapat digunakan untuk membedakan bakteri Gram positif (G+) dari bakteri Gram negatif (G-). Prinsip dasarnya didasarkan pada komponen kimia berbeda dari dinding sel bakteri. Setelah pewarnaan primer dengan kristal violet dan mordan dengan yodium, bakteri membentuk kompleks kristal violet-iodin yang tidak larut dalam air di dinding sel. Bakteri gram positif memiliki dinding sel yang tebal, tidak mengandung lipid, kaya akan peptidoglikan dan berikatan silang membentuk struktur jaringan padat. Ketika diolah dengan etanol, jaring peptidoglikan menyusut, yang dapat menghalangi kompleks kristal violet-iodin. Ia tetap berada di dinding sel, memberinya warna ungu kristal violet. Sebaliknya, bakteri gram negatif memiliki dinding sel yang tipis, kandungan peptidoglikan yang rendah, dan ikatan silang yang longgar. Ketika terkena etanol, membran luar yang kaya lipid larut, celah besar muncul di dinding sel, dan kompleks kristal violet-yodium mengalir keluar, sehingga sel menjadi tidak berwarna setelah dekolorisasi etanol. Pada titik ini dengan pewarnaan safranin, bakteri Gram-negatif akan terwarnai merah.
Larutan pewarnaan Gram mengandung empat komponen yaitu larutan pewarnaan amonium oksalat kristal violet, larutan iodium 1%, larutan penghilang noda dan larutan pewarnaan fuchsin. Setelah pewarnaan, bakteri gram positif tampak berwarna ungu hingga biru keunguan, dan bakteri gram negatif tampak berwarna merah.
Kondisi Penyimpanan dan Penanganan
Simpan dan transportasi pada suhu kamar; berlaku selama 12 bulan.
Komponen
|
Nomor komponen |
Komponen |
G1401-20ML |
|
G1065-1 |
Larutan pewarnaan amonium oksalat kristal violet |
20 ml |
|
G1065-2 |
larutan yodium 1%. |
20 ml |
|
G1065-3 |
solusi yang menentukan |
20 ml |
|
G1065-4 |
Solusi pewarnaan Fuchsin |
20 ml |
|
Petunjuk |
1 |
1 |
Protokol / Prosedur Pengujian
1. Keringkan bagian parafin dengan air; keringkan noda bakteri secara alami atau hangatkan dengan lampu alkohol untuk mengeringkan dan memperbaikinya.
2. Pencelupan awal: Tambahkan larutan pewarna kristal violet tetes demi tetes untuk menutupi sampel selama 10-30 s, cuci dengan air, dan keringkan.
3. Pewarnaan mordan: Tambahkan larutan yodium 1% tetes demi tetes untuk menutupi sampel selama 1-1,5 menit, cuci dengan air, dan keringkan.
4. Dekolorisasi: tambahkan setetes demi setetes larutan dekolorisasi untuk membilas jaringan dari salah satu ujung kaca objek untuk dekolorisasi, hingga larutan dekolorisasi yang mengalir ke bawah tidak lagi tampak ungu, dan segera cuci dengan air untuk menghilangkan larutan dekolorisasi. Berhati-hatilah untuk mengontrol waktu tujuan.
5. Counterstaining: tambahkan larutan pewarna Fuchsin setetes demi setetes selama 20-60 s, lalu cuci dengan air. Keringkan pinggirannya dengan kertas saring.
6. Apusan bakteri dapat diamati secara langsung dengan mikroskop. Setelah dikeringkan pada suhu 60 derajat, bagian jaringan didehidrasi dengan cepat dalam etanol absolut selama tiga kali, masing-masing 1 detik, 3 detik, dan 5 detik. Kemudian ditransparankan dengan xilena selama 5 menit, dan terakhir ditutup dengan gom netral untuk pemeriksaan mikroskopis.
Catatan
1. Kencangkan tutupnya tepat setelah menggunakan reagen untuk mencegah pelarut menguap.
2. Noda bakteri terlalu tebal, waktu pewarnaan kristal violet terlalu lama, dan dekolorisasi tidak mencukupi, sehingga dapat menyebabkan hasil positif palsu. Disarankan untuk melakukan kelompok kontrol bakteri negatif dan positif.
3. Tiap set larutan pewarna dapat digunakan untuk mewarnai kurang lebih 30 bagian (pewarnaan tetes).
4. Harap kenakan jas lab dan sarung tangan sekali pakai selama pengoperasian.
Hanya Untuk Penggunaan Penelitian!
Tag populer: kit pewarnaan gram, produsen, pemasok, pabrik kit pewarnaan gram Cina
